Schlechter Start ins neue Jahrtausend für Europas Feuersalamander
Es ist erst wenige Jahre her, dass in den Niederlanden ein neuer Pilz auf der Haut von Amphibien entdeckt wurde. Sein Name: Batrachochytrium salamandrivorans, kurz Bsal. Die Gefahr, die er darstellt, verdeutlicht die deutsche Übersetzung seines Namens: der Salamanderfresser. Rasend schnell verbreitet er sich unter europäischen Schwanzlurchen. Während Molche insgesamt weniger betroffen zu sein scheinen, verläuft eine Infektion für Feuersalamander mit großer Sicherheit tödlich. Ganze Populationen drohen zu verschwinden.
Wo kommt die Pilz-Epidemie her?
Vermutet wird, dass Bsal aus Ostasien stammt und über den Handel mit asiatischen Molchen den Weg nach Europa fand. Er könnte aber auch mit Wasserpflanzen oder in einem feuchten Lehmklumpen gereist sein, kurz: Man weiß es nicht. Was wir aber wissen: Er wird bleiben. Und sich weiter ausbreiten – mit verheerenden Folgen.
Anfang der 2000er-Jahre gelangte Bsal irgendwo im Dreiländereck Deutschland – Niederlande – Belgien in die Natur. Von hier aus wanderte der Pilz in Richtung Osten und eroberte das Ruhrgebiet. Im Sommer 2020 schließlich machte er einen riesigen Sprung über 500 Kilometer und tauchte an zwei Orten in Bayern auf.
Wo kommt die Pilz-Epidemie her?

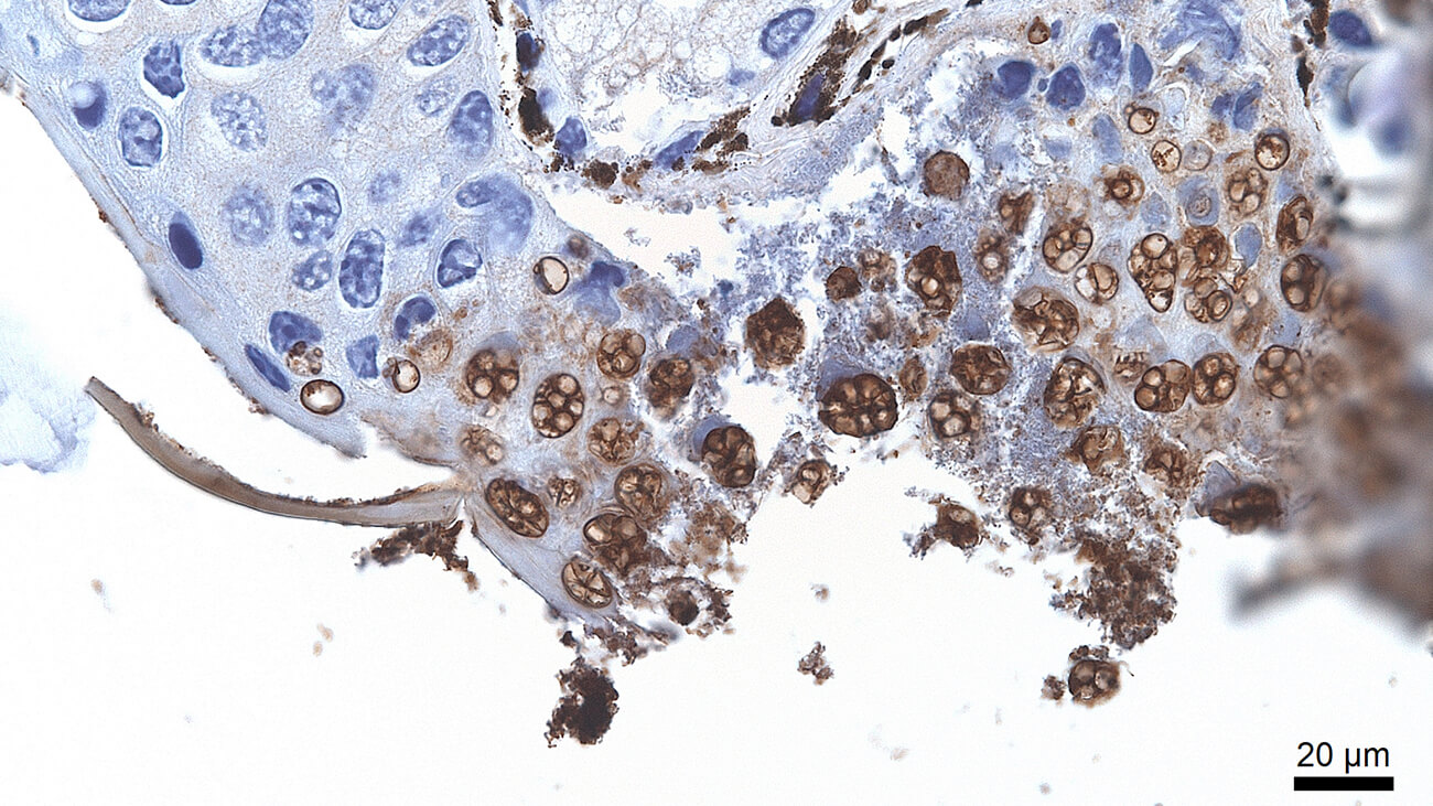
Batrachochytrium salamandrivorans © Frank Pasmans, Uni Gent

Der Pilz führt zu regionalem Aussterben des Feuersalamanders
Bsal befällt die empfindliche Haut der Lurche. Er frisst regelrechte Löcher hinein und führt vermutlich über eine Sepsis zum Tod. Erst in fortgeschrittenem Stadium werden die äußerlichen Schäden sichtbar, dann ist es oft schon zu spät. Bei Feuersalamandern führt eine Infektion mit Bsal ohne Behandlung vermutlich fast immer zum Tod. Mit anderen Worten: In Regionen, in denen der Pilz auftaucht, wird der Feuersalamander faktisch ausgelöscht.
Das Aussterben kann verhindert werden
Die gute Nachricht: Bsal ist behandelbar. Pilz wie Lurch haben nämlich eine Gemeinsamkeit: Sie mögen keine hohen Temperaturen. Anders als der Pilz jedoch können Feuersalamander mit höheren Temperaturen eine Weile ganz gut klarkommen. Genau dies ist der Schlüssel: Wenn man infizierte Tiere über einen Zeitraum von zwei Wochen in eine Wärmekammer bei ziemlich genau 25 Grad Celsius setzt, stirbt Bsal, und der Lurch kann sich erholen. Allerdings kann man ihn vorerst trotzdem nicht wieder zurück in seinen Wald entlassen, denn dort lauert noch der Pilz. Noch ist völlig unklar, wie lange diese Gefahr im Biotop bestehen bleibt, ob die Salamander eine Immunabwehr entwickeln können und wie man sie dabei unterstützen kann. Bis dies geklärt ist, können sie nur in menschlicher Obhut überleben, wie auf einer Arche.
Drei Schritte zur Rettung

Quarantäne
Erkrankte Tiere aus dem Freiland müssen sofort in einer Quarantänestation isoliert werden, damit sie keine weiteren Tiere anstecken und therapiert werden können.

Wärmebehandlung
Nach zwei Wochen in Wärmekammern bei konstant 25 Grad ist der Pilz in aller Regel besiegt. Spezielle PCR-Tests können klären, ob es zu einem Rückfall gekommen ist.

Erhaltungszucht
Der Aufbau von Reservepopulationen lokaler Feuersalamanderbestände stellt sicher, die Nachfahren der Tiere später wieder ansiedeln zu können.
Wie Archen gestaltet werden können
Um nicht nur einzelne Feuersalamander zu retten, sondern die ganze Art, benötigt man einige Archen. Alles auf eine Karte zu setzen, also beispielsweise alle Tiere an einem Standort zu halten, mag zwar wirtschaftlich effizient sein, aber das Risiko, dass bei einer lokalen Katastrophe alle Tiere betroffen sind, ist viel zu groß. Auch gibt es unterschiedliche Möglichkeiten, so eine Arche zu gestalten, vor allem, wenn man den Feuersalamander in seiner Vielfalt erhalten möchte. Dabei spielt die genetische Vielfalt eine zentrale Rolle, da diese schon einigermaßen gut untersucht ist. Aber wie sieht es zum Beispiel mit der Vielfalt an Bakterien und anderen Mikroorganismen aus, die die Feuersalamander im Darm oder auf der Haut haben?
Um möglichst viele Optionen für die Zukunft zu haben, benötigen wir ein Netzwerk an Archen. Wie dieses aussehen könnte, was man dabei alles berücksichtigen sollte, wo man anfängt und vieles mehr hat Frogs & Friends im Auftrag des Artenhilfsprogramms für den Feuersalamander in Bayern zusammengestellt. Diese Blaupause lässt sich leicht für andere Regionen anpassen. Wer möchte, kann ja mal einen Blick in die Machbarkeitsstudie werfen.

Der Salamanderfresser im Film
Autorin Susann Knakowske hat über ein Jahr lang Akteurinnen und Akteure aus Wissenschaft, Naturschutz und Tierhaltung filmisch begleitet. Das war nicht so geplant, das hat sich so ergeben. Denn weder Corona, noch der Bsal-Sprung nach Bayern standen auf dem Drehplan, als wir Ende 2019 mit den Vorbereitungen begannen. Und auch diese Geschichte ist noch lange nicht zu Ende. Aber der erste Film ist fertig und gibt einen Überblick über den Stand der Dinge in Sachen Salamanderfresser im Frühjahr 2021.
Jede Spende hilft uns, das Netzwerk für bedrohte Arten weiter auszubauen
Der Aufbau und die Koordination von Erhaltungszuchten für den Feuersalamander ist der Schlüssel für seine Rettung. Citizen Conservation hat sich genau dies zur Aufgabe gemacht, durch die gemeinsame Initiative von Wissenschaft und Zivilgesellschaft die Anzahl an Schutzräumen für bedrohte Arten in menschlicher Obhut drastisch zu erhöhen – wir werden sie brauchen. Hier und heute für den mitteleuropäischen Feuersalamander.
Spendenkonto
Citizen Conservation
GLS Gemeinschaftsbank eG
DE38 4306 0967 1271 7068 00
BIC: GENODEM1GLS

Spendenkonto
Citizen Conservation
GLS Gemeinschaftsbank eG
DE38 4306 0967 1271 7068 00
BIC: GENODEM1GLS

Das Artensterben bedroht unsere Lebensgrundlage. Citizen Conservation vereint wissenschaftliches Knowhow mit zivilgesellschaftlichem Engagement. Gemeinsam können wir die Herausforderung meistern.